Seitenbereiche:
  • zum Inhalt [Alt+0]
  • zum Hauptmenü [Alt+1]
  • Patienten Besucher
    • An-/Abmeldung
    • Aufnahmetage
    • Informationen für Angehörige
    • Buffet
    • Genesungswünsche
    • Info ABC
    • Selbsthilfe
  • Medizin Pflege
    • Anästhesiologie und Intensivmedizin
      • Patienteninformationen
      • Ambulanzen
      • Allgemeine Informationen
      • Unser Team
      • Unsere Leistungen
      • Kontakt
      • Zahlen, Daten, Fakten
    • Augenklinik
      • Abteilung für Augenheilkunde
        • Patienteninformationen
        • Unsere Leistungen
        • Augentagesklinik
        • Kontakt
        • Pflege
        • Unser Team
        • Ambulanzen
      • Neuro-Orthoptische Ambulanz (Sehschule)
        • Patienteninformationen
        • Ambulanzen
        • Unser Team
        • Unsere Leistungen
        • Kontakt
      • Medizinisches Laserzentrum
      • Augenoptik
      • Klinisches Institut für Spezialsehhilfen
        • Unser Team
        • Unsere Leistungen
        • Kontakt
      • Mediathek
    • Gefäßchirurgie
      • Referenzzentrum Gefäßchirurgie
      • Information
      • Leistungen
      • Spezialambulanzen
      • Unser Team
      • Ärztliche Aus- und Weiterbildung
      • Pflege
      • Mediathek
      • Kontakt
    • Gynäkologie und Geburtshilfe
      • Online-Anmeldung
      • Leistungen Geburtshilfe
        • Geburt
        • Wochenbett
        • Pränataldiagnostik
        • Kurse
        • Mediathek
          • Podcast
      • Leistungen Gynäkologie
        • Tagesklinik
      • Aus- und Weiterbildung Ärzte
      • Unser Team
      • Spezialambulanzen
      • Dysplasieambulanz
        • Unser Zentrum
        • Diagnose & Therapie
        • FAQ
        • Glossar
        • Links
        • Kontakt
      • Sicherheit
      • Zahlen, Daten, Fakten
      • Babygalerie
      • Kontakt
    • Innere Medizin
      • Patienteninformationen
      • Ambulanzen
      • Allgemeine Informationen
      • Unser Team
      • Unsere Leistungen
      • Pflege
      • Kontakt
    • Neurologie
      • Akutgeriatrie und Remobilisation
      • Ambulanzen
      • Ärztliches Team
      • Unsere Leistungen
      • Pflege
      • Kontakt
    • Palliative Care
      • Kooperation
      • Links
      • Unser Team
      • Betreuungsangebot
      • Kontakt
    • Radiologie
      • Allgemeine Informationen
      • Unser Team
      • Unsere Leistungen
      • Radiologietechnologen
      • Abteilungsrundgang
      • Kontakt
    • Sinnes- und Sprachneurologie
    • OKH Zentrallabor
    • Pflege
      • Karriere & Bildung
      • Patienten & Angehörige
      • Pflegeexperten
    • Turnusärzte
  • Ärzte Zuweiser
    • Feedback
    • Ansprechpartner
    • Befundübermittlung
    • Veranstaltungen & Fortbildungen
      • Neuroonkologie
      • Winterschool 2025
    • Wissenschaftliche Publikationen
    • Aktuelles
  • Beratung Therapien
    • Diätologie und Ernährungsmedizinische Beratung
    • Diabetes
    • Ergotherapie
    • Logopädie
    • Orthoptischer Dienst
    • Physiotherapie
    • Klinische Psychologie und Neuropsychologie
  • Hospitalität Seelsorge
    • Gottesdienste
    • Hospitalität
    • Seelsorge
    • Pastoralrat
    • Orden & Konvent
    • Klosterkirche
    • Spirituelle Angebote
      • Sternenkinder
  • Über uns
    • Lob & Kritik
    • Krankenhausleitung
    • Karriere & Ausbildung
    • Management
    • Presse
    • Organisation
    • Geschichte
    • Sozialleistungen
  • Barrierefreiheit
  • Datenschutz
  • Impressum
  • Hinweisgeber
  • Orden
  • Provinzverwaltung
  • International
  • Jobs
  • Orden
  • Provinzverwaltung
  • International
  • Jobs
Kontrastfarben
  • Patienten Besucher
    • An-/Abmeldung
    • Aufnahmetage
    • Informationen für Angehörige
    • Buffet
    • Genesungswünsche
    • Info ABC
    • Selbsthilfe
  • Medizin Pflege
    • Anästhesiologie und Intensivmedizin
      • Patienteninformationen
      • Ambulanzen
      • Allgemeine Informationen
      • Unser Team
      • Unsere Leistungen
      • Kontakt
      • Zahlen, Daten, Fakten
    • Augenklinik
      • Abteilung für Augenheilkunde
        • Patienteninformationen
        • Unsere Leistungen
        • Augentagesklinik
        • Kontakt
        • Pflege
        • Unser Team
        • Ambulanzen
      • Neuro-Orthoptische Ambulanz (Sehschule)
        • Patienteninformationen
        • Ambulanzen
        • Unser Team
        • Unsere Leistungen
        • Kontakt
      • Medizinisches Laserzentrum
      • Augenoptik
      • Klinisches Institut für Spezialsehhilfen
        • Unser Team
        • Unsere Leistungen
        • Kontakt
      • Mediathek
    • Gefäßchirurgie
      • Referenzzentrum Gefäßchirurgie
      • Information
      • Leistungen
      • Spezialambulanzen
      • Unser Team
      • Ärztliche Aus- und Weiterbildung
      • Pflege
      • Mediathek
      • Kontakt
    • Gynäkologie und Geburtshilfe
      • Online-Anmeldung
      • Leistungen Geburtshilfe
        • Geburt
        • Wochenbett
        • Pränataldiagnostik
        • Kurse
        • Mediathek
          • Podcast
      • Leistungen Gynäkologie
        • Tagesklinik
      • Aus- und Weiterbildung Ärzte
      • Unser Team
      • Spezialambulanzen
      • Dysplasieambulanz
        • Unser Zentrum
        • Diagnose & Therapie
        • FAQ
        • Glossar
        • Links
        • Kontakt
      • Sicherheit
      • Zahlen, Daten, Fakten
      • Babygalerie
      • Kontakt
    • Innere Medizin
      • Patienteninformationen
      • Ambulanzen
      • Allgemeine Informationen
      • Unser Team
      • Unsere Leistungen
      • Pflege
      • Kontakt
    • Neurologie
      • Akutgeriatrie und Remobilisation
      • Ambulanzen
      • Ärztliches Team
      • Unsere Leistungen
      • Pflege
      • Kontakt
    • Palliative Care
      • Kooperation
      • Links
      • Unser Team
      • Betreuungsangebot
      • Kontakt
    • Radiologie
      • Allgemeine Informationen
      • Unser Team
      • Unsere Leistungen
      • Radiologietechnologen
      • Abteilungsrundgang
      • Kontakt
    • Sinnes- und Sprachneurologie
    • OKH Zentrallabor
    • Pflege
      • Karriere & Bildung
      • Patienten & Angehörige
      • Pflegeexperten
    • Turnusärzte
  • Ärzte Zuweiser
    • Feedback
    • Ansprechpartner
    • Befundübermittlung
    • Veranstaltungen & Fortbildungen
      • Neuroonkologie
      • Winterschool 2025
    • Wissenschaftliche Publikationen
    • Aktuelles
  • Beratung Therapien
    • Diätologie und Ernährungsmedizinische Beratung
    • Diabetes
    • Ergotherapie
    • Logopädie
    • Orthoptischer Dienst
    • Physiotherapie
    • Klinische Psychologie und Neuropsychologie
  • Hospitalität Seelsorge
    • Gottesdienste
    • Hospitalität
    • Seelsorge
    • Pastoralrat
    • Orden & Konvent
    • Klosterkirche
    • Spirituelle Angebote
      • Sternenkinder
  • Über uns
    • Lob & Kritik
    • Krankenhausleitung
    • Karriere & Ausbildung
    • Management
    • Presse
    • Organisation
    • Geschichte
    • Sozialleistungen
  • Online-Anmeldung
  • Leistungen Geburtshilfe
    • Geburt
    • Wochenbett
    • Pränataldiagnostik
    • Kurse
    • Mediathek
      • Podcast
  • Leistungen Gynäkologie
    • Tagesklinik
  • Aus- und Weiterbildung Ärzte
  • Unser Team
  • Spezialambulanzen
  • Dysplasieambulanz
    • Unser Zentrum
    • Diagnose & Therapie
    • FAQ
    • Glossar
    • Links
    • Kontakt
  • Sicherheit
  • Zahlen, Daten, Fakten
  • Babygalerie
  • Kontakt
  • Gynäkologie und Geburtshilfe
  • Dysplasieambulanz
  • Glossar
Inhalt:
DIE DYSPLASIEAMBULANZ
AM KONVENTHOSPITAL DER BARMHERZIGEN BRÜDER LINZ & BHS Linz

Glossar/Fachbegriffe

 

Hier erklären wir Ihnen die häufigsten Fachbegriffe.

Die Dysplasieambulanz

Unser Zentrum

Diagnose & Therapie

FAQ

 ► GLOSSAR

links

kontakt

Abstrich
Eine Abstrichentnahme von Untersuchungsmaterial von Haut- und Schleimhautoberflächen dient meist zur infektiologischen oder zytologischen Untersuchung (Zytodiagnostik). Beim zytologischen Abstrich (Krebsabstrich, auch als PAP bezeichnet, nach Georg Papanicolaou, dem Entdecker der Methode) werden von der Gebärmutterhalsoberfläche, aus dem Gebärmutterhalskanal und von der Scheide Zellen entnommen ("abgestrichen") und zur weiteren Untersuchung ins zytologische Labor geschickt. Der PAP-Abstrich hat zum Ziel, rechtzeitig Zellveränderungen zu identifizieren um bereits Vorstufen eines Gebärmutterhalskrebses zu erfassen. Da es sich dabei um die Untersuchung von einzelnen, aus dem Gewebsverband gelösten Zellen handelt, kann keine Aussage bezüglich des tatsächlichen Vorliegens einer bösartigen Erkrankung getroffen werden. Zur weiteren Abklärung eines auffälligen PAP-Abstrichs wird deshalb eine Lupenuntersuchung des Gebärmutterhalses bzw. des äußeren Muttermundes (Kolposkopie) mit gezielter Biopsieentnahme empfohlen.
Analgesie
bedeutet Schmerzausschaltung bzw. Schmerzlinderung und kann auf vielfache Weise herbeigeführt werden. So werden z.B. Sprays für eine lokale Schmerzausschaltung (Lokalanästhesie) verwendet. Im Bereich des äußeren weiblichen Genitale kann mittels einer Injektion ein kleines Hautgebiet schmerzfrei gemacht werden.  
Anamnese
Krankengeschichte: Art, Beginn und Verlauf der aktuellen bzw. früheren Erkrankungen, die im ärztlichen Gespräch mit den PatientInnen erfragt werden.
Benigne
Gutartig, im Gegensatz zu maligne (=bösartig).
Biopsie
Diagnostische Entnahme von Gewebe durch Punktion (Feinnadelbiopsie) oder Probeexzision. Diese Gewebeprobe wird histologisch (feingeweblich) oder zytologisch auf ihre Beschaffenheit untersucht. Damit können gutartige oder bösartige Veränderungen festgestellt werden.
Cavum uteri
Gebärmutterhöhle
CIN-cervikale intraepitheliale Neoplasie
"Krebs im Vorstadium". Zellveränderungen mit allen Merkmalen einer bösartigen Erkrankung, die jedoch ausschließlich auf die Oberfläche des Organs (Epithel) beschränkt sind. Da die unter der Oberfläche liegende Basalmembran noch nicht durchbrochen ist, werden die Zellen nicht über Lymphbahnen und Blutgefäße in andere Körperbereiche abtransportiert (Metastasierung). Dieser Zustand kann z.B. als Vorstadium des Gebärmutterhalskrebses durch Jahre bestehen bleiben. Es gibt 3 Grade von CIN, Grad 1 bis Grad 3, wobei Grad 1 die mildeste Vorstufe eines Gebärmutterhalskrebses, Grad 3 die am "weitest fortgeschrittene Vorstufe" eines Gebärmutterhalskrebses ist.
  • CIN I - leichteste Form der Zellveränderungen, die sich meist von selbst zurückbildet
  • CIN II - mittlere Form der Zellveränderungen, die Rückbildungstendenz beträgt ca. 40-50%
  • CIN III - am weitest fortgeschrittene Vorstufe; die Rückbildungstendenz bei der CIN III ist wesentlich geringer und beträgt ungefähr 30%, meist wird eine CIN III mittels einer Schlingenresektion chirurgisch entfernt.

Eine CIN wird meist durch Infektion mit dem humanen Papilloma-Virus (HPV) verursacht. Ein Krebsabstrich kann den Verdacht auf Vorliegen einer CIN ergeben. Die endgültige Diagnose erfolgt auf histologischer Untersuchung einer Gewebsprobe.

 

Das Foto zeigt CIN I - leichteste Form der Zellveränderungen, die sich meist von selbst zurückbildetDas Foto zeigt CIN II - mittlere Form der Zellveränderungen, die Rückbildungstendenz beträgt ca. 40-50%

Das Foto zeigt  CIN III - am weitest fortgeschrittene Vorstufe; die Rückbildungstendenz bei der CIN III ist wesentlich geringer und beträgt ungefähr 30%, meist wird eine CIN III mittels einer Schlingenresektion chirurgisch entfernt.Die Abbildung zeigt CIN I mit abnormen Zellen und Basalmembran

Die Abbildung zeigt CIN II mit abnormen Zellen und BasalmembranDie Abbildung zeigt CIN III mit abnormen Zellen und Basalmembran

Condylomata acuminata (spitze Kondylome)
Feigwarzen; Warzen im Genitalbereich, die in unterschiedlichen Größen auftreten können. Besonders große Tumore werden als Buschke-Löwenstein-Tumore bezeichnet. Als Ursache ist besonders die Infektion mit dem humanen Papillomavirus (HPV) anzuführen. Von den mehr als 80 HPV-Typen, die den Genitaltrakt befallen können, lösen vor allem die Typen 6 und 11 Feigwarzen aus. Meist wird das Virus sexuell übertragen. Die Therapie der Wahl ist die chirurgische Entfernung der Warzen, vornehmlich mit dem Laser. Bei kleinen Kondylomen kann auch eine lokale Behandlung mit äußerlich aufzutragenden Salben erfolgreich sein. In der Schwangerschaft sollen Kondylome einige Wochen vor dem errechneten Geburtstermin operativ entfernt werden. Beim Vorliegen von Kondylomen zum Zeitpunkt der Geburt besteht lediglich ein gering erhöhtes Risiko für das Kind, Warzen im Bereich des Kehlkopfes zu entwickeln. Ein Kaiserschnitt ist nur bei sehr großen Kondylomen zu empfehlen.
Dysplasie
Zellveränderungen im Epithel, die unterschiedlich schwer sein können und in ein Krebswachstum übergehen können (siehe CIN).
Ektozervikal
Am äußeren Muttermund
Endocervikal
Im Bereich des Gebärmutterhalskanals, im Gegensatz zu ektozervikal (außen an der Portio)
Endometrium
Gebärmutterschleimhaut: Fachbezeichnung für die Schleimhaut im Inneren der Gebärmutter. Das Endometrium besteht aus Drüsen und Bindegewebe. Man unterscheidet eine unmittelbare der Gebärmuttermuskulatur anliegende Regenerationsschicht, sog. Zona basalis, und eine während der geschlechtsreifen Phase zyklischen Veränderungen unterworfene oberflächliche Schicht, sog, Zona functionalis. Diese oberflächliche Schicht wird bei der Menstruation abgestoßen, die Regeneration erfolgt aus der Basalschicht.

 

Histologie
Lehre vom Feinbau körpereigener Gewebe (Organe). Mikroskopische Untersuchung eines sehr dünnen (wenige 1/1000 mm), angefärbten Gewebeschnittes erlaubt die Beurteilung, ob ein Gewebe krankhaft verändert ist, ob ein gut- oder bösartiger Tumor vorliegt, bei Metastasen evtl. auch Hinweise auf den Ort des Primärtumors. Entscheidend für genaue Diagnose einer Tumorerkrankung.
HPV (humanes Papillomavirus)
Das humane Papillomavirus (HPV) ist ein kleines DNA-Virus von dem mehr als 100 humanpathogene Subtypen bekannt sind. Es ist lokalisationsspezifisch, d.h. es führt nur im Bereich bestimmter Körperregionen zu den charakteristischen Virusveränderungen. Die Durchseuchung der Bevölkerung ist sehr hoch, ungefähr 80-90% aller Menschen haben zumindest einmal während ihres Lebens eine HPV-Infektion durchgemacht. Die Altersgruppe mit der höchsten "Durchseuchung" liegt zwischen dem 25. und 35. Lebensjahr. Der Nachweis von HPV ist relativ einfach und bereits gut standardisiert. Allerdings werden nicht die verschiedenen Virustypen einzeln nachgewiesen, sondern ganz global die verschiedenen HPV-Risikogruppen; d.h. am Befund ist vermerkt, dass eine HPV-Infektion mit einer Niedrigrisikogruppe (low-risk-HPV) bzw. mit einer Hochrisikogruppe (high risk-HPV) vorliegt. Die Stämme 6 und 11 sind vor allem mit der Entstehung von Kondylomen assoziiert. Etwa 20 HPV-Stämme (insbesondere 16 und 18) sind mit cervikalen intraepithelialen Neoplasien (CIN) und Gebärmutterhalskrebs assoziiert.  
HPV-Infektionen
Sexuell übertragbare Infektionen mit HPV. HPV-Infektionen zählen zwar nicht zu den klassischen Geschlechtskrankheiten im engeren Sinn, sie werden aber vor allem bei Geschlechtsverkehr übertragen. Man nimmt an, dass das Virus durch winzige Hautrisse, die beim Geschlechtsverkehr aber auch z.B. durch unsachgemäßen Einsatz von Tampons entstehen können, in den Körper gelangt. Das Virus kann Jahre im Körper bleiben ohne sich bemerkbar zu machen. Vermutlich ist fast jeder zweite Erwachsene in Österreich davon betroffen. In den meisten Fällen verläuft die Infektion symptomlos, weil das Immunsystem des Körpers selbst damit fertig wird. Manchmal zeigen sich Warzen in der Genitalregion (Kondylome). Bei 75% aller Infizierten dauert es viele Monate oft auch Jahre bis sich Warzen entwickeln. Wird eine HPV-Infektion diagnostiziert, kann man sich daher zu jedem beliebigen Zeitpunkt des aktiven Liebeslebens damit angesteckt haben. Einige Virusstämme können allerdings auch zu bösartigen Zellveränderungen führen. Allerdings bedeutet eine HPV-Infektion nicht, dass es tatsächlich zu einer Krankheitsentstehung kommt. In den meisten Fällen (vor allem bei jüngeren Frauen) wird das körpereigene Immunsystem mit der Infektion fertig, d.h. das HPV wird eliminiert (HPV-Clearance).
Karzinom
Krebs, bösartiger Tumor
Kolposkopie
Lupenbetrachtung (10-30fache Vergrößerung) von Scheide und Gebärmutterhals mit einem sog. Kolposkop. Es können auffällige Areale identifiziert werden und somit gezielt Gewebsproben unter kolposkopischer Sicht entnommen werden.
Konisation
Ausschneiden eines Gewebskegels des Gebärmutterhalses zur Therapie einer hochgradigen CIN. Diese Operation kann sowohl mittels eines Skalpells, eines Lasers oder in der heutigen Zeit mit einer elektrischen Schlinge durchgeführt werden.
Auf www.konisation.at finden Sie darüber weitere Informationen.
Krebs
Bezeichnung für eine Vielzahl von bösartigen Erkrankungen (insgesamt ca. 170), die ein unkontrolliertes, invasives Wachstum von Körperzellen zur Folge haben, welche zur Tumorbildung und Metastasierung führt.

 

Die Abbildung zeigt ein invasives Wachstum und die BasalmembranDie Abbildung zeigt normale Zervix mit Plattenepithel, normale Zellen und Basalmembran

Laser
Lichtverstärkung durch stimulierte Emission; gebündeltes Licht.
Lichen sclerosus
Lichen sclerosus ist eine (nicht ansteckende) Hauterkrankung ungeklärter Ursache. Sie führt zu fleckigen weißen Hautveränderungen mit Sklerose (Vernarbung) der Dermis (Lederhaut). Sie tritt meistens im Genitalbereich auf und ist in einigen Fällen stark juckend.
Leukoplakie
Verhornungsstörungen der Hautoberfläche; häufig im Bereich des äußeren Genitale (Vulva) oder am äußeren Muttermund (Portio). Es besteht das Risiko einer malignen Entartung zum Plattenepithelkarzinom. Regelmäßige Kontrollen bzw. auch eine operative Entfernung sind in vielen Fällen angezeigt.
Maligne
bösartig
Muttermund (innerer und äußerer)
Bezeichnung für die beiden Mündungen des Gebärmutterhalskanals (Zervikalkanal).
  • Äußerer Muttermund: Mündung des Gebärmutterhalskanals in die Scheide,
  • Innerer Muttermund: im Bereich des Übergangs vom Gebärmutterhals zum Gebärmutterkörper

 

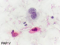
PAP-Abstrich (Papanicolaou-Abstrich)

übliche Bezeichnung für den vaginalzytologischen Abstrich (Krebsabstrich). Die Anatom George Papanicolaou beschrieb 1942 erstmals die Möglichkeit, durch Zellabstrich gewonnene und mit der von ihm angegebenen Färbemethode eingefärbte Zellen auf ihre Bösartigkeit hin zu beurteilen. Der Krebsabstrich wird zumeist von der Oberfläche des Gebärmutterhalses, aus dem Gebärmutterhalskanal und dem hinteren Scheidengewölbe gewonnen, fixiert, und nach Färbung einer mikroskopischen Zellbeurteilung (Zytodiagnostik) zugeführt.

 

Das Bild zeigt PAP IDas Bild zeigt PAPII

Das Bild zeigt PAPIIIDas Bild zeigt IIID

Das Bild zeigt IVDas Bild zeigt V

 
Plattenepithelkarzinom
Bösartiger Tumor, der von der Oberfläche eines mit Plattenepithel überkleideten Organs ausgeht. Dieser entwickelt sich häufig in Vorstufen, so z.B. im Bereich des Gebärmutterhalses aber auch im Bereich des äußeren Genitale. Vorstufen des Gebärmutterhalskrebses können oft mittels PAP-Abstrich identifiziert werden.
Portio vaginalis uteri
Abgekürzt: Portio. Teil der Gebärmutter, der in die Scheide hineinreicht
Pruritus vulvae
Fachbezeichnung für Juckreiz im Bereich des äußeren weiblichen Genitales, z.B. bei Östrogenmangel in den Wechseljahren aber auch bei Entzündungen, Pilzinfektionen, Herpes genitalis oder bei Diabetes mellitus etc.
Uterus
Gebärmutter: Birnenförmiges, muskelstarkes inneres Geschlechtsorgan der Frau, welches etwa in der Mitte des kleinen Beckens zwischen Harnblase und Mastdarm liegt. Die Gebärmutter besteht aus dem Gebärmutterkörper, der die Gebärmutterhöhle bildet und den Gebärmutterhals. Die Gebärmutterhöhle (Cavum uteri) ist etwa 4cm lang und teilt sich beidseits in den sog. Tubenwinkel in die Mündung der Eileiter auf. Nach unten geht sie über den inneren Muttermund in den Gebärmutterhalskanal über. Der Gebärmutterhalskanal selbst ist etwa 3-4cm lang und mündet mit dem äußeren Muttermund (Portio) in die Scheide. Der Gebärmutterhals ragt mit seinem unteren Teil in die Scheide (sog. Portio vaginalis uteri) und ist von einer mehrschichtigen Zellschicht bedeckt. Diese Zellen werden mittels des Krebsabstrichs (PAP-Abstrich) abgestrichen und mikroskopisch untersucht.
Vagina
Scheide. Die Vagina verbindet das schlauchförmige Organ die äußeren Geschlechtsorgane mit dem Gebärmutterhals. Sie ist etwa 10cm lang, dehnbar und besteht aus Muskeln und Bindegewebsanteilen. Vordere und hintere Scheidenwand liegen eng aneinander; bei sexueller Erregung verlängert sich die Vagina um 3-4cm und entfaltet sich.
VIN
vulväre intraepitheliale Neoplasie. Vorstadium eines Vulvakarzinoms
Vulva
äußere Geschlechtsorgane der Frau
Vulvoskopie
Lupenbetrachtung (10-30fache Vergrößerung) des äußeren weiblichen Genitales mit einem speziellen Gerät (Koloposkop). Auffällige Areale können identifiziert und gezielt Gewebsproben entnommen werden.
Zervix uteri

Die Zervix ist der unterste Anteil der Gebärmutter. Die äußere Oberfläche der Zervix und der Vagina (=Scheide) sind von einem sog. Plattenepithel überkleidet. Der Zervikalkanal ist mit Zylinderepithel ausgekleidet. An der Grenze zwischen Platten- und Zylinderepithel ist die Stelle, an der am häufigsten krankhafte Veränderungen der Zervix entstehen.

Die Abbildung zeigt Gebärmutterkörper, Gebärmutterhals, dysplastisches Gewebe, ScheideDie Abbildung zeigt Eileiter, Eierstock, Gebärmutter, Zervix, Scheide

Zervixkarzinom
Gebärmutterhalskrebs: In den meisten Fällen dauert es viele Jahre, bis sich aus einer Vorstufe (CIN) des Gebärmutterhalses Krebs entwickelt. Ist tatsächlich bereits ein Krebs vorhanden, so breitet sich dieser vor allem auf das umliegende Gewebe aus. Weiter kann es zur Verschleppung der Zellen entlang der Lymphbahnen des Beckens in die Beckenlymphknoten kommen. Der Gebärmutterhalskrebs wird fast zu 100% durch eine Infektion mit HPV verursacht. Im Frühstadium des Gebärmutterhalskrebses treten keinerlei Symptome auf. Bei weiter fortgeschrittenen Erkrankungen kommt es zu Zwischenblutungen weiterhin zum typischen fleischwasserfarbenen Ausfluss und zu Blutungen nach dem Geschlechtsverkehr.

 


Zum Anfang der Seite
  • Patienten Besucher
  • Medizin Pflege
  • Ärzte Zuweiser
  • Beratung Therapien
  • Hospitalität Seelsorge
  • Über uns
  • Barrierefreiheit
  • Datenschutz
  • Impressum
  • Hinweisgeber
Cookie-Einstellungen
Anmelden